【入れ歯の種類】
入れ歯には保険適用のものと保険適用外(自費)のものがあります。
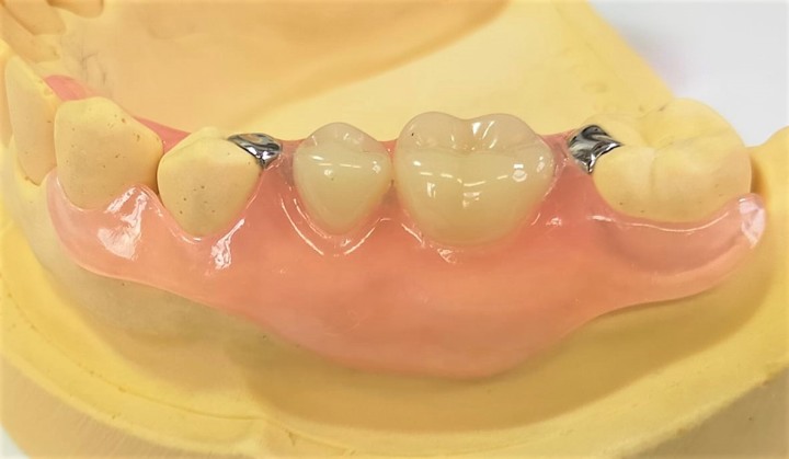
| 【入れ歯の大きさの種類】 《総入れ歯》 歯が全くない人の入れ歯 《部分入れ歯》 歯が1本以上残っている人の入れ歯 |
|
【入れ歯の材質の種類】 《レジン床入れ歯》 ・レジン床入れ歯:レジン床入れ歯とは、入れ歯の歯肉や顎に触れる部分が歯肉を模したピンク色のレジンと呼ばれるプラスチック樹脂の床で出来た入れ歯です。(保険適用の入れ歯) ・シリコン床の入れ歯:レジン床入れ歯の歯肉や顎に触れる部分がシリコン床で出来た入れ歯(吸着義歯)です。(保険適用外の自費の入れ歯) 《金属床入れ歯》 ・コバルトクロムきん属床(銀色):薄く耐久性があり熱を伝えやすく清潔な状態で永く快適にご使用いただけます。(保険適用外の自費の入れ歯) ・金きん属床(金色):アレルギーも少なく、薄く耐久性があり熱を伝えやすく清潔で美しい状態で永く快適にご使用いただけます。(保険適用外の自費の入れ歯) |
|
| 【部分入れ歯の保持の種類】 ・クラスプ・デンチャー:入れ歯の支えの為に歯に掛けて使われる金属製のワイヤー保持(バネ)を使った部分入れ歯です。(保険適用の入れ歯) ・ノンクラスプ・デンチャー:金属製ワイヤー(バネ)は使わずに歯ぐきの色を模した特殊な樹脂材料で床の部分から保持部分までが一体化して作られる部分入れ歯です。(保険適用外の自費の入れ歯) ・コーヌスアタッチメント・デンチャー:コーヌスクローネとは維持装置としてクラスプ(バネ)を使わず、2重構造でできた冠を使った嵌め込み式の機構を用いた部分入れ歯です。(保険適用外の自費の入れ歯) |
|
【保険適用の入れ歯と保険適用外(自費)の入れ歯】
保険適用の入れ歯は保険が適用される経済的な入れ歯です。(保険適用の入れ歯)
保険適用外の入れ歯は、部分入れ歯・総入れ歯どちらも費用が上がります。
保険適用の入れ歯よりも質や見た目が良いため、歯の健康と機能を
長く維持したい人にはお勧めです。(保険適用外の自費の入れ歯)
